الجمعة 27 مارس 2026
facebook twitter youtube instagram nabd whatsapp tiktok telegram linkedin pinterest
الشورى
ads
الشورى
  • أخبار مصر
  • حوادث
  • ملفات وتحقيقات
  • الرياضة
  • فن
  • محافظات
  • اقتصاد
  • شئون العالم
  • منوعات ومجتمع
 الشوري  PDF
ads
ads

السرطان صفحة 3

اتحاد طلاب كليات جامعة القاهرة في زيارة ميدانية لمستشفى 500 500 والوقوف على معدلات الإنجاز بالمشروع

اتحاد طلاب كليات جامعة القاهرة في زيارة ميدانية لمستشفى 500 500 والوقوف على معدلات الإنجاز بالمشروع

الأربعاء 19/أبريل/2023 - 03:25 م

تحت رعاية الدكتور أيمن عاشور وزير التعليم العالي والبحث العلمي والدكتور محمد عثمان الخشت رئيس جامعة القاهرة

عقب مشاركتها في فعالية دعم المستشفى بأمريكا.. وزيرة الهجرة تزور 57357

عقب مشاركتها في فعالية دعم المستشفى بأمريكا.. وزيرة الهجرة تزور 57357

الثلاثاء 11/أبريل/2023 - 09:09 م

أجرت السفيرة سها جندي وزيرة الدولة للهجرة وشئون المصريين بالخارج زيارة لمستشفى سرطان الأطفال 57357 لتقديم ال

دراسة: 3 سنوات من الهواء الملوث تزيد فرص الإصابة بسرطان الرئة

دراسة: 3 سنوات من الهواء الملوث تزيد فرص الإصابة بسرطان الرئة

الثلاثاء 11/أبريل/2023 - 08:52 م

كشفت أدلة جديدة من دراسة شاملة أن التعرض لتركيزات عالية من الجزيئات الدقيقة في الهواء يمكن أن يزيد من خطر الإص

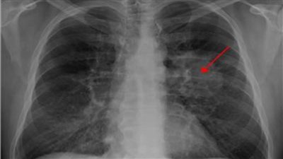
علامة على يدك اليمنى تشير على أصابتك بـ«سرطان الرئة»

علامة على يدك اليمنى تشير على أصابتك بـ«سرطان الرئة»

السبت 25/مارس/2023 - 12:52 م

سرطان الرئة السبب الرئيسي الأول للوفيات الناتجة عن السرطان حول العالم ويعد المدخنون هم الأكثر عرضة للإصابة بس

الذكاء الاصطناعي يطورعلاج السرطان في 30 يومًا فقط

الذكاء الاصطناعي يطورعلاج السرطان في 30 يومًا فقط

الثلاثاء 21/مارس/2023 - 12:10 م

طور الذكاء الاصطناعي علاج السرطان في 30 يوما فقط وأظهر أنه يمكن أن يتنبأ بمعدل بقاء المريض على قيد الحياة با

السيد خير الله

السيد خير الله

السيد خيرالله يكتب:   القبطان ذكى أخرج مستشفى ٥٧٣٥٧ من الإنعاش

السبت 18/مارس/2023 - 12:36 م
الصحة تنصح هؤلاء بالرجوع للطبيب قبل صيام رمضان

الصحة تنصح هؤلاء بالرجوع للطبيب قبل صيام رمضان

الجمعة 17/مارس/2023 - 02:30 م

كشفت وزارة الصحة عن وجود عدد الفئات يجب عليها استشارة الطبيب قبل صيام شهر رمضان منهم:١-مرضى السكر لمعرفة موقفه

وزير الصحة: فحص وتوعية 33.8 مليون سيدة ضمن مبادرة

وزير الصحة: فحص وتوعية 33.8 مليون سيدة ضمن مبادرة "دعم صحة المرأة"

الخميس 09/مارس/2023 - 06:01 م

أكد الدكتور خالد عبدالغفار وزير الصحة والسكان أن القيادة السياسية تولي اهتماما كبيرا بقضايا المرأة وعلى رأس

رئيس الوزراء يشهد مؤتمر

رئيس الوزراء يشهد مؤتمر "سبورتس إكسبو 2023"

الأربعاء 22/فبراير/2023 - 02:21 م

عقب افتتاحه معرض سبورتس إكسبو 2023 الذي يقام تحت رعاية فخامة الرئيس عبد الفتاح السيسي رئيس الجمهورية توج

وزارة الصحة تشارك في إصدار توصيات لصناع الدراما بشأن مشاهد التدخين

وزارة الصحة تشارك في إصدار توصيات لصناع الدراما بشأن مشاهد التدخين

الثلاثاء 07/فبراير/2023 - 07:33 م

أكدت وزارة الصحة والسكان سعيها لتحقيق بنود اتفاقية منظمة الصحة العالمية الإطارية لمكافحة التبغ FCTC والتي

عمال البترول ينظمون زيارة لمستشفى 57357 لإدخال السرور على مرضى السرطان

عمال البترول ينظمون زيارة لمستشفى 57357 لإدخال السرور على مرضى السرطان

السبت 28/يناير/2023 - 08:18 م

نظمت أمانة المرأة بالنقابة العامة للعاملين بالبترول زيارة لمستشفى.57357 لإدخال السرور على مرضى السرطان بالمسشت

إحالة 35 متهمًا في تهريب أدوية سرطان إلى نيابة الشؤون الاقتصادية

إحالة 35 متهمًا في تهريب أدوية سرطان إلى نيابة الشؤون الاقتصادية

الأربعاء 25/يناير/2023 - 10:45 م

قررت نيابة القاهرة الجديدة الكلية إحالة 35 متهما في واقعة تهريب أدوية سرطان والمعروفة إعلاميا بتهريب الأدوية

وزير الصحة يستعرض جهود الدولة المصرية في التصدي لمكافحة أورام سرطان الثدي بين السيدات (صور)

وزير الصحة يستعرض جهود الدولة المصرية في التصدي لمكافحة أورام سرطان الثدي بين السيدات (صور)

الخميس 19/يناير/2023 - 03:20 م

أكد الدكتور خالد عبدالغفار وزير الصحة والسكان على دور وأهمية الجهود التشاركية بين مختلف النظم الصحية والجمعي

خالد الطوخى

خالد الطوخى

خالد الطوخى يكتب: التحالف الوطنى للعمل الأهلى.. قاطرة المبادرات والأنشطة التنموية

السبت 31/ديسمبر/2022 - 12:50 م
وفاة بيليه بعد صراع مع السرطان

وفاة بيليه بعد صراع مع السرطان

الخميس 29/ديسمبر/2022 - 09:34 م

توفي اليوم الخميس الأسطورة الكروية والأيقونة البرازيلية بيليه عن عمر يناهز 82 عاما بعد صراع مع مرض السرطان.وتو

الصحة العالمية تحذر من دفعة ملوثة لدواء يستخدم في علاج السرطان وأمراض المناعة

الصحة العالمية تحذر من دفعة ملوثة لدواء يستخدم في علاج السرطان وأمراض المناعة

الأربعاء 28/ديسمبر/2022 - 04:37 م

حذرت منظمة الصحة العالمية من وجود دفعة ملوثة من منتج ميتوتريكسات بعيار 50 ملغ METHOTREX 50mg في إقليم المنظم

تنفيذًا لتوجيهات رئيس الوزراء..  رئيس جامعة طنطا يخصص مستشفى متكامله لعلاج سرطان الاطفال 

تنفيذًا لتوجيهات رئيس الوزراء.. رئيس جامعة طنطا يخصص مستشفى متكامله لعلاج سرطان الاطفال 

الأربعاء 28/ديسمبر/2022 - 03:30 م

أعلن الأستاذ الدكتور محمود احمد ذكي رئيس جامعة طنطا أنه تنفيذا لتكليف رئيس مجلس الوزراء لجامعة طنطا بتشغيل وإد

7 ملايين جنيه حصيلة حملة تبرعات رابطة تجار السيارات لصالح مستشفى 57357

7 ملايين جنيه حصيلة حملة تبرعات رابطة تجار السيارات لصالح مستشفى 57357

الثلاثاء 27/ديسمبر/2022 - 06:28 م

قال المستشار أسامة أبوالمجد رئيس رابطة تجار السيارات إن الرابطة قامت بإطلاق حملة بين أعضائها للتبرعات لصالح

مستشفى 57357: نواجه ضغط التمويل منذ 2016 بانخفاض قيمة الجنيه بنسبة 48%

مستشفى 57357: نواجه ضغط التمويل منذ 2016 بانخفاض قيمة الجنيه بنسبة 48%

الجمعة 23/ديسمبر/2022 - 04:57 م

أصدر مستشفى 57357 لعلاج أورام الأطفال تقريرا يكشف الأزمة المالية التي يتعرض لها حاليا ويوضح للرأي العام بالوضع

تدهور الحالة الصحية لـ بيليه والسرطان يسبب فشلًا كلويًا له

تدهور الحالة الصحية لـ بيليه والسرطان يسبب فشلًا كلويًا له

الأربعاء 21/ديسمبر/2022 - 11:35 م

أعلنت مستشفى ألبرت أينشتاين بمدينة ساو باولو البرازيلية اليوم الأربعاء وجود تطور لمرض السرطان في جسد أسطورة

التعليم العالي:  نتائج متميزة لمشاركة الجامعات المصرية في معرض القاهرة الدولى للتكنولوجيا Cairo ICT

التعليم العالي: نتائج متميزة لمشاركة الجامعات المصرية في معرض القاهرة الدولى للتكنولوجيا Cairo ICT

الإثنين 19/ديسمبر/2022 - 03:45 م

أشاد د. أيمن عاشور وزير التعليم العالى والبحث العلمى بالنتائج التى حققتها الوزارة خلال المشاركة في الجلسات وا

الآلات الشعبية تحتفى باليوم العالمى لمتحدى الاعاقة ببورسعيد

الآلات الشعبية تحتفى باليوم العالمى لمتحدى الاعاقة ببورسعيد

الثلاثاء 06/ديسمبر/2022 - 07:57 م

في إطار احتفالات الهيئة العامة لقصور الثقافة برئاسة المخرج هشام عطوة باليوم العالمي لذوي الاحتياجات الخاصة أق

عاشور والخشت يتفقدان الأعمال الإنشائية بمستشفى 500 500 في الشيخ زايد

عاشور والخشت يتفقدان الأعمال الإنشائية بمستشفى 500 500 في الشيخ زايد

الأربعاء 30/نوفمبر/2022 - 11:01 ص

أجرى الدكتور أيمن عاشور وزير التعليم العالي والبحث العلمي والدكتور محمد عثمان الخشت رئيس جامعة القاهرة جولة

د. محمد معروف يوضح مخاطر السمنه على الصحة العامة

د. محمد معروف يوضح مخاطر السمنه على الصحة العامة

الثلاثاء 29/نوفمبر/2022 - 01:02 م

السمنة مرض معقد تزيد فيه كمية دهون الجسم زيادة مفرطة حيث أنالسمنة ليست مجرد مصدر قلق بشأن المظهر الجمالي,بل

وزيرة الهجرة تلتقي أحد الخبراء المصريين بالخارج في مجال علاج السرطان (صور)

وزيرة الهجرة تلتقي أحد الخبراء المصريين بالخارج في مجال علاج السرطان (صور)

الجمعة 18/نوفمبر/2022 - 03:34 م

التقت السفيرة سها جندي وزيرة الدولة للهجرة وشئون المصريين بالخارج الدكتور هيثم أحمد شعبان مدير مشروع بحثي بمر

محاكمة عضو مجلس إدارة استولى على أدوية تقدر بـ 5 ملايين جنيه

محاكمة عضو مجلس إدارة استولى على أدوية تقدر بـ 5 ملايين جنيه

الخميس 17/نوفمبر/2022 - 08:55 م

قررت محكمة جنايات القاهرة مد أجل الحكم على عضو مجلس إدارة إحدى شركات الأدوية بتهمة الاستيلاء علي أدوية تقدر

سلسلة محاضرات عن تغيير المناخ بثقافة الدقهلية

سلسلة محاضرات عن تغيير المناخ بثقافة الدقهلية

الجمعة 11/نوفمبر/2022 - 05:30 م

تواصل الهيئة العامة لقصور الثقافة برئاسة المخرج هشام عطوة دعم مؤتمر المناخ من خلال سلسلة المحاضرات والورش بإ

شهر التوعية بسرطان الثدي: أطباء الأورام المصريون يشددون على ضرورة الكشف المبكر ونشر الوعي

شهر التوعية بسرطان الثدي: أطباء الأورام المصريون يشددون على ضرورة الكشف المبكر ونشر الوعي

الإثنين 31/أكتوبر/2022 - 06:09 م

خلال الندوة التي عقدت بالتعاون مع شركة الأدوية أم أس دي التابعة للقطاع الخاص استعرض الخبراء قضايا مثل معا

السيسي: مصر حصدت 2 تريليون جنيه من مشروعات العاصمة الإدارية الجديدة والمدن الجديدة

السيسي: مصر حصدت 2 تريليون جنيه من مشروعات العاصمة الإدارية الجديدة والمدن الجديدة

الأربعاء 26/أكتوبر/2022 - 07:02 م

أكد الرئيس المصري عبد الفتاح السيسي أن الدولة جنت أرباحا بقيمة 2 تريليون جنيه من مشروعات إنشاء مدن جديدة ب

رئيس الوزراء يفتتح فعاليات الدورة الرابعة من

رئيس الوزراء يفتتح فعاليات الدورة الرابعة من "تراثنا" للحرف اليدوية والتراثية (صور)

الأحد 09/أكتوبر/2022 - 12:56 م

افتتح الدكتور مصطفى مدبولي رئيس مجلس الوزراء صباح اليوم فعاليات الدورة الرابعة من معرض تراثنا للحرف اليدو

  • 1
  • 2
  • 3
  • 4
  • 5
  • 6
  • 7
ads

الأكثر قراءة

1

السيد خيرالله وقيادات وزارة الزراعة ينعون وفاة والدة علاء فاروق وزير الزراعة

2

استجابة فورية لشكاوى المواطنين.. حملة مكبرة للنظافة ورفع القمامة بحي غرب سوهاج

3

صحة سوهاج: تقديم 2.8 مليون خدمة طبية علاجية لـ1.9 مليون مواطن خلال 6 أشهر

4

نائب محافظ سوهاج يتابع أحوال الطقس من مركز السيطرة ويوجه بالتعامل الفوري مع بلاغات المواطنين

5

وكيل صحة سوهاج يؤكد جاهزية المستشفيات للتعامل مع أي طارئ

الشورى
facebook twitter youtube instagram nabd whatsapp tiktok telegram linkedin pinterest
  • الرئيسية
  • أخبار مصر
  • حوادث
  • ملفات وتحقيقات
  • الرياضة
  • فن
  • محافظات
  • اقتصاد
  • شئون العالم
  • منوعات ومجتمع
  • فيديو و توك شو
  • العدد الورقي
  • محمد فودة
  • محمود الشـويخ
  • مقالات
  • من نحن
  • سياسة الخصوصية
  • اتصل بنا
©2024 alshouranews.com All Rights Reserved.
Powered by sync solutions
الشورى
 الشوري  PDF
  • الرئيسية
  • أخبار مصر
  • حوادث
  • ملفات وتحقيقات
  • الرياضة
  • فن
  • محافظات
  • اقتصاد
  • شئون العالم
  • منوعات ومجتمع
  • فيديو و توك شو
  • العدد الورقي
  • محمد فودة
  • محمود الشـويخ
  • مقالات
facebook twitter youtube instagram nabd whatsapp tiktok telegram linkedin pinterest
الشورى